牛皮癣女性患者可以怀孕吗?烟台牛皮癣医院 牛皮癣的出现会给患者的生活造成了很大的影响。生活中人们要注意了解牛皮癣的症状表现,也要注意了解牛皮癣常识问题,患上牛皮癣要注意的事项是很多的,那么,牛皮癣患者能否怀孕吗?

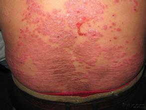
牛皮癣是常见的慢性炎症性皮肤疾病。它具有顽固性和复发性的特点。它给患者带来极大的痛苦,严重影响生活质量。那么,你了解牛皮癣所带来的危害吗?下面就给大家讲讲牛皮癣所带来的危害
牛皮癣的危害有:
(1)蛋白质及其他营养物质丢失:由于牛皮癣大量脱屑,构成皮肤的蛋白质、维生素及叶酸等物质随之丢失。若皮损迁延多年不愈且泛发全身,会导致低蛋白血症或营养不良性贫血。临床表现为乏力、倦怠、面色苍白,易于感冒等症状。如果由于不正确的"忌口"而营养摄入不足,更会使上述症状加重。
(2)泛发性脓疱型牛皮癣导致脏器损害:有的寻常型牛皮癣患者会突然发生高热,关节肿痛,全身不适及血细胞增高,皮肤上迅速出现粟粒大小,密集的小脓疱。脓疱连成大片,干涸后于皮下再发新的脓疱,反反复复持续数月不消退,这就是泛发性脓疱型牛皮癣,此病常常并发肝,肾等系统损害,亦可因继发感染、电解质紊乱或衰竭而危及生命。
(3)关节型牛皮癣导致关节损害:关节型牛皮癣除有牛皮癣损害外,还发生类风湿性关节炎症状。临床表现有关节肿大疼痛,活动受限,晨僵,甚至关节积液或变形。长久以后,关节可以强直。X线检查呈类风湿性关节炎改变,但类风湿因子检查阴性。有的患者血沉可以增快,并可伴有发热等全身症状。关节病型牛皮癣病程慢性,往往经年累月而不易治愈。
(4)红皮病型牛皮癣导致全身损害及继发感染:红皮病型牛皮癣少见而严重。表现为周身皮肤弥漫性潮红或暗红,脓胀或伴有渗出,表面覆有大量麸皮样鳞屑。患者伴有头痛、发热、畏寒等全身不适。浅表淋巴结肿大,白细胞计数增高,若没有及时正确处理,极易造成死亡。由于皮损面积大,细菌易于侵入,会导致败血症而死亡;由于血液粘稠度增高,血容量不足等,导致心力衰竭而死亡;亦可由于肝、肾功能衰竭而导致死亡。
知道了牛皮癣所带来的危害有多么严重了。患者一定要选择正规的医院接受治疗。以免耽误病情。
牛皮癣女性患者可以怀孕吗?如果您还有其他的关于牛皮癣遗传性大不大的相关问题,欢迎咨询我们的在线专家,我们竭诚为您服务,祝您早日康复。