专家解读牛皮癣的四大危害?烟台半岛皮肤病医院对于牛皮癣患者来说,一直就有很大的心理负担,害怕受到歧视的眼光,害怕会给别人造成困扰,更害怕一辈子就这样,永远的治不好。近年来,随着牛皮癣对社会的影响力,已近众多科学家的不断钻研,临床上牛皮癣的康复案例也是层出不穷。非常肯定的告诉大家:牛皮癣不传染。

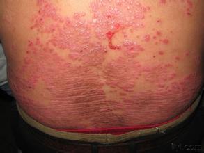
牛皮癣,我们应该都有所了解,是一种慢性的皮肤病,疾病主要表现在患者的皮损表面,一般不会危害生命,但是由于难堪的皮损和瘙痒,给患者的生活、工作、日常交际都造成了危害,那么,牛皮癣的危害都有哪些呢?请看下面的介绍。
牛皮癣虽然不会直接影响牛皮癣患者的生命,但是对身心健康往往会有直接影响。
牛皮癣病的主因活性氧,是肌体代谢的有害产物,渗杂在血液细胞间质中,导致肌体内环境污染,血液纯质的改变。出现血热、血燥、血瘀,蕴积滞阻过多导致瘟毒发于肌肤。长年反复发作,病程迁延日久耗血伤精,肌肤失养,枯燥瘙痒,伤神失眠,摧残身体。
牛皮癣的诱因多为精神因素,由于过度劳累,家庭纠纷,亲人亡故,经济问题等使患者精神过度紧张,情绪抑郁,可引起一系列心理反应,导致内分泌紊乱,免疫功能下降,从而促进了牛皮癣的发生与发展。中医认为,情志内伤,气机壅滞,郁久化火,毒热伏于营血而发生牛皮癣,因此在遇有不可抗拒的天灾人祸时,患者应尽量控制情绪,尽量保持心情平静,保证充足睡眠,必要时可适量服用镇静剂。
以上就是对牛皮癣的危害的介绍,想必大家已经有了一定的了解,患者朋友应该正确对待牛皮癣疾病,还要懂得如何在生活中正确护理牛皮癣患者,这对于配合牛皮癣的治疗和维护患者的健康是很有帮助的。
专家解读牛皮癣的四大危害?如果您还有其他的关于牛皮癣怎样诊断的相关问题,欢迎咨询我们的在线专家,我们竭诚为您服务,祝您早日康复。