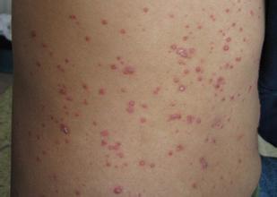
牛皮癣可导致的四种并发症?西安莲湖京科中医皮肤病医院牛皮癣是很常见的一种顽固性疾病,牛皮癣的出现给患者的影响是很大的,生活中要注意了解的。生活中要注意牛皮癣预防工作的,那么关节型牛皮癣的危害有哪些呢?

牛皮癣的危害有哪些方面?很多朋友会有这样的问题。下面就是关于牛皮癣的危害相关介绍,希望我们能更好的认识牛皮癣。
牛皮癣的危害:牛皮癣病的主因活性氧,是肌体代谢的有害产物,渗杂在血液细胞间质中,导致肌体内环境污染,血液纯质的改变。出现血热、血燥、血瘀,蕴积滞阻过 多导致瘟毒发于肌肤。长年反复发作,病程迁延日久耗血伤精,肌肤失养,枯燥瘙痒,伤神失眠,摧残身体。
以上就是关于牛皮癣的危害有哪些方面的介绍,希望我们能更好的意识到牛皮癣危害的严重性。
牛皮癣可导致的四种并发症?如何预防牛皮癣发生如果您还有其他的关于的相关问题,欢迎咨询我们的在线专家,我们竭诚为您服务,祝您早日康复。