具体介绍一下牛皮癣的危害?西安牛皮癣医院有相关调查显示,在抽烟的人中,皮肤更轻易泛起红、肿、瘙痒和弹性改变等;抽烟的人与不抽烟的人比拟,患牛皮癣的风险增加了78%;戒烟的人与从不抽烟的人比拟,患牛皮癣的风险增加了37%。并且患病的风险与抽烟的数目有关。

牛皮癣患者不可掉以轻心,不可滥用不恰当的药物治疗牛皮癣,患者应尽早选择正规皮肤病专科医院就诊早日摆脱牛皮癣困扰。对于牛皮癣若不治疗会有哪些危害,牛皮癣是一种顽固而难治的皮肤病,如果得不到有效的治疗,会对机体产生危害:
一、脓疱型牛皮癣易导致脏器损害,有的牛皮癣患者会突然发生高热、关节肿痛、全身不适及白细胞增高,皮肤上迅速出现粟粒大小、密集的小脓疱。脓疱连成大片,干涸后于皮下再发新的脓疱,反反复复持续数月不消退。牛皮癣不治的危害有哪些,此病常常并发肝、肾等系统损害,亦可因继发感染、电解质紊乱或衰竭而危及生命。
二、针对牛皮癣不治的危害有哪些,关节病型牛皮癣除有牛皮癣损害外,还发生类风湿性关节炎症状。临床表现有关节肿大疼痛,活动受限,晨僵,甚至关节积液或变形。长久以后,关节可以强直。X线检查呈类风湿性关节炎改变,但类风湿因子检查阴性。有的牛皮癣患者血沉可以增快,并可伴有发热等全身症状。关节病型牛皮癣病程慢性,往往经年累月而不易治愈。
三、寻常型牛皮癣会导致大量脱屑,构成皮肤的蛋白质、维生素及叶酸等营养物质随之丢失。若皮损迁延多年不愈且泛发全身,会导致低蛋白血症或营养不良性贫血。牛皮癣不治的危害有哪些,临床表现为乏力、倦怠、面色苍白,易于感冒等症状。治疗牛皮癣如果由于不正确的忌口而营养摄入不足,便更会使上述症状加重。
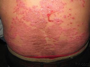
四、如何治疗牛皮癣红皮病型牛皮癣临床少见而严重,会导致全身损害及继发感染。表现为周身皮肤弥漫性潮红或暗红,肿胀或伴有渗出,表面覆有大量麸皮样鳞屑。患者伴有头痛、发热、畏寒等全身不适,浅表淋巴结肿大,白细胞计数增高。牛皮癣不治的危害有哪些,若没有及时正确处理,极易造成死亡。由于皮损面积大,细菌易于侵入,会导致败血症而死亡;由于血液粘稠度增高、血容量不足等,导致心力衰竭而死亡;亦可由于肝、肾功能衰竭而导致死亡。
以上就是专家介绍的牛皮癣若不治疗会有哪些危害,您是不是有一定的了解了呢。能认识这些,有助于您更好的预防和护理,找到适合自己的治疗方法。积极的治疗合理的护理,争取早日康复。
具体介绍一下牛皮癣的危害?牛皮癣治疗如果您还有其他的关于的相关问题,欢迎咨询我们的在线专家,我们竭诚为您服务,祝您早日康复。